What actually is Germanische Heilkunde®?
Modern medicine began to explore the human body to heal better when ill. As will be shown, this was incomplete in principle because out of sheer enthusiasm in discovering the mechanical-biochemical connections, the psyche and the brain were ignored entirely.
Similarly, the orbits of the planets had been misunderstood as spiral orbits around the earth, as long as the sun was the central star, were disregarded for dogmatic reasons, which not only made no real sense but were also difficult to calculate. But since Galileo rediscovered the sun as the central star of our planetary system, the planets’ orbits are quite simple orbits around the sun.
The doctors of earlier centuries or millennia had mostly focused their considerations on the psychological connections in diagnostics and therapy. Of course, they could not substantiate their findings based on anatomy, physics, and biochemistry, i.e., the modern natural sciences, but they gained their experience mostly psycho-intuitively, which is still considered unimportant and frowned upon today.
Both views are incomplete. Both views, more or less, leave the brain out of consideration. However, the psychic-intuitive approach was still closer to the factual circumstances because we can see what terrible consequences a purely organic medicine has. On the other hand, one cannot arrive at a reproducible systematic synopsis if one does not include the entire organic field.
In reality, the distinction between psyche, brain, and organ strictly speaking does not exist because, in reality, it is a constantly synchronous triad, namely:
The biological conflicts can only be understood in terms of developmental history as archaic conflicts, which are, in principle, analogous in humans and animals.

The animal feels most of these biological conflicts are still real, as humans are often transported. For the animal, a morsel that it cannot swallow is a real piece of food. For humans, it can also be a thousand-dollar penalty, or a lottery win.
In Germanische Heilkunde®, operations are by no means to be rejected in principle and in any case. They only have to be indicated individually and according to common sense, i.e., when it seems reasonable, when spontaneous healing would take too long, or when there are subsequent conflicts, e.g., when a patient feels disfigured by a lump in her breast and a melanoma has developed due to DHS – but always only according to the criteria of Germanische Heilkunde®.
Drug treatment is by no means an exclusive domain of conventional medicine. All symptomatically good drugs should be used for the patient’s benefit, according to the criterion of whether the doctor would use them on his own wife.
Germanische Heilkunde® is an empirical natural science. It is based on five empirically found biological laws, which can be applied to every single case of the disease in humans and mammals in a strictly scientific sense.
Ignorance of these laws in the medical-clinical sense has prevented us from ever correctly classifying medicine, or even seeing or being able to assess a single disease correctly.
We were never able to recognize cancer and its connections because we believed it to be incurable. We focused on eliminating the symptoms of cancer on an organic level. Nor had we had the opportunity to understand the so-called infectious diseases at all because we did not consider them to be phases of healing but aggressive phases of illness in which the microbes wanted to destroy us. Likewise, the law of the two-phase nature of diseases was not considered due to a lack of knowledge of the interrelationships. Anyway, the mental and cerebral levels and the importance of left and right-handedness were also not considered in the epileptic crisis, which is the most frequent cause of death, not to mention the epileptic crisis.
All these new possibilities of recognition and healing are based on the understanding of the Iron Rule of Cancer of the 1st Law and the so-called DHS = the Dirk-Hamer-Syndrome (conflict shock) meanwhile become fixed medical terms of Germanische Heilkunde®.
DHS is a severe, highly acute dramatic, isolating, biological conflict that catches us utterly unprepared on the “wrong foot.” Simultaneously or quasi-simultaneously on all three levels: in the psyche, brain, and organ. In the second of the DHS, everything is already programmed.
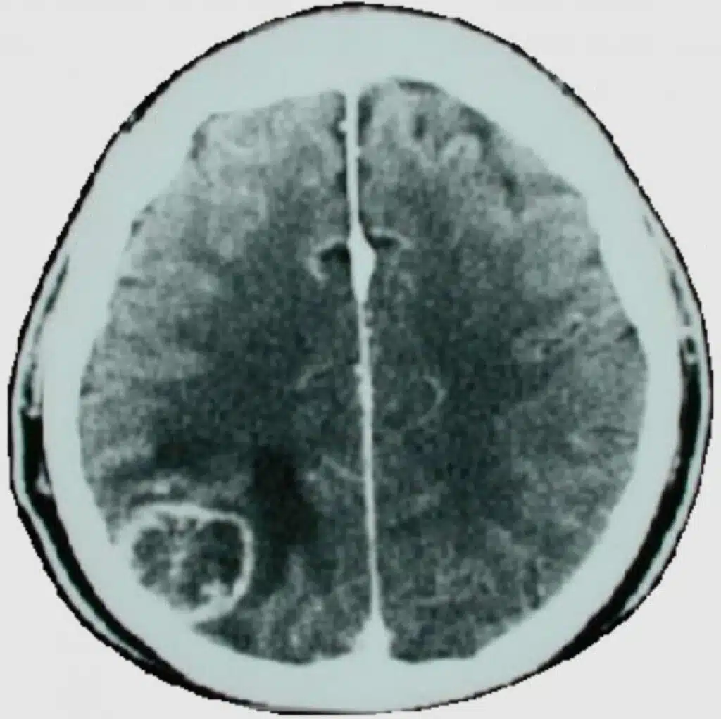
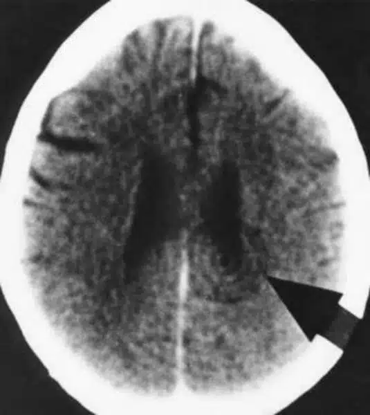
According to the content of the conflict, a particular area of the brain, already determined in advance, has been “switched,” which can be seen from the 1st second on with our
computed tomogram (CT’s), as a so-called Hamer Focus (HH), and therefore a predictable change in the organ, e.g., cell proliferation or cell reduction or a functional disorder, in the so-called cancer equivalents (cancer-like diseases). Switched over here means that the DHS is “only” the switching process to a particular program so that the organism can cope with the unforeseen situation.
From this DHS on, the patient has cold extremities, cannot sleep, cannot eat, loses weight, and thinks day and night about his conflict. This phase is the conflict-active stress phase or also called permanent sympathicotonia.
With the onset of conflict resolution (CL), the organism then switches again from sympathicoton to vagoton. We see that the patient no longer thinks about his conflict day and night on the psychological level. Suddenly, his hands become very hot, his appetite is good again, he sleeps well again, and he gains weight again. However, he becomes frail and tired. Sometimes he can only lie down.
However, this is by no means the beginning of the end but a very positive sign. This healing phase lasts, depending on the previous conflict’s duration, for a varying length of time, approximately as long as the conflict lasted.
On the brain level, we see that during the healing phase, the HH now gets edema, i.e., it turns dark. The rings in the CT become blurred and dark, and the whole relay in the brain swells enormously.
At the peak of the healing phase, we see the epileptic crisis. The epileptic crisis is a process that Mother Nature has practiced for millions of years.
In the middle of the healing phase, the patient experiences a physiological recurrence of conflict, i.e., every patient has a brief reminder of his or her conflict, with the result that he or she enters the stress phase for a very short time, gets cold hands, is centralized, sweats cold, and experiences all the symptoms of conflict activity again for a short time.
The purpose is that the brain edema should be squeezed out and excreted, and the patient returns to normality. We usually call an epileptic seizure with muscle spasms only a special form of epi-crisis, namely after the resolution of a motor conflict.
The most dangerous point is immediately at the end of the crisis. That is when it becomes clear whether the epi-crisis has been enough to turn the wheel. The best-known epi-crisis is, for example, a heart attack.
During the second half of the healing phase, harmless brain connective tissue, so-called glia, is stored in the brain. This completely harmless brain connective tissue, which can be stained white with an iodine contrast medium in a CT scan, was previously wrongly considered to be a so-called brain tumor and was operated out with complete ignorance. However, the brain cells themselves cannot multiply at all after birth. Therefore, real brain tumors cannot exist at all.
On the organ level, we now see what was previously considered the most important thing, that cancer no longer continues to grow; i.e., with the resolution of the conflict, cancer growth also stops.
The 2nd Law of Germanische Heilkunde® thoroughly turns our entire previous supposed knowledge upside down. It is “The law of the two-phase nature of all diseases, with the solution of the conflict”.
If we knew, roughly estimated, about 1000 so-called “diseases” up to now, we found about half of these alleged “diseases” on closer inspection, where the patient showed cold hands, cold periphery, and about the other half alleged warm or hot “diseases,” where the patient had warm or hot hands and mostly fever.
In reality, there were only 500 “tandems”: first (after DHS), a cold, conflict-active, sympathicotonic phase, and afterward (after CL), a hot, conflict-resolved, vagotonic healing phase.
All diseases we know of are facultative in this way, provided that conflict resolution occurs. When we look back, not even one single disease had been correctly recognized in previous medicine: In the case of the so-called “cold diseases,” the subsequent healing phase had been overlooked or misinterpreted as a separate disease (e.g., “flu”).
With the so-called “hot diseases,” which always represented the 2nd phase, i.e., the healing phase after the previous conflict-active phase, this previous cold phase had been overlooked or misinterpreted as another disease.
In the brain, both phases naturally have their HH in the same place but in different states: in the conflict-active phase, always with sharply marked circles, the so-called shooting target configuration; in the conflict-resolved phase, the HH is swollen and edematized.
However, drug treatment in Germanische Heilkunde® is only used to alleviate or avoid complications in the natural healing process. Not to treat cancer, as is usual with the so-called chemotherapy, which is equivalent to an exorcism.
Chemotherapy means treatment with cell toxins intended to prevent cell proliferation. However, in alto-brain controlled cancers, chemo even promotes cancer growth because the cell toxin increases sympathicoton. In cerebrum-controlled cancers, their use is absurd because it abruptly stops all healing processes.
According to the criteria of Germanische Heilkunde®, irradiation is completely senseless. It was always assumed that the symptom had to be removed to prevent the spread of metastases.
But what the physicians had considered metastases were new cancers, based on new conflict shocks, i.e., first of all iatrogenic, i.e., diagnosis and prognosis shock triggered by physicians. Never before has a researcher be able to find a cancer cell in the arterial blood of a so-called cancer patient, because that is where one would have to find them if they were to swim to the periphery, i.e., the outer areas of the body.
And the effect of chemo and radiation on the brain? It is cruelly stupid and usually ends tragically.
Morphine is disastrous for any patient. Because morphine turns the entire brain upside down and the patient has no morals whatsoever, he lets himself be put to sleep without will.
The goal of any therapy must therefore be to help the patient understand the context of his illness. However, it is very difficult for a patient who is currently on his own and in constant danger of being panicked by his environment to defend himself with the understanding of Germanische Heilkunde®, as long as Germanische Heilkunde® is an outsider medicine. If one had a good sanatorium, where all employees and patients understood Germanische Heilkunde®, this panic-mongering would cease, and the patients could recover.
All processes of the psyche and organ are connected and coordinated by the brain.

The brain is quasi the significant computer of our organism. The psyche becomes the programmer, body and psyche together become the organ of the success of the computer, both in case of optimal programming and a disturbance of the program. For it is by no means only the case that the psyche programs the brain and the organ, but the organ can also induce quasi-automatic programming of the brain and the psyche in case of injuries, bone fractures, and the like. This constant interplay between psyche, brain, and organ, with the brain as the fabulous computer of our entire organism, developed over millions of years. This must be kept in mind if we want to understand the biological laws of Germanische Heilkunde®. But Germanische Heilkunde® not only encompasses the relationship between psyche, brain, and organ. But also provides embryological-ontogenetic explanations for understanding why the individual relay centers are located at the places in the brain where we find them. And it also explains the connections between the various germ layers and the resulting different histological formations of cancerous tumors and normal tissue. At each site of cancer, we find the histological pattern of tissue. And the embryologically belongs there.
Besides, it includes another coordination circle, which sees the relationship between the various patterns of behavior and conflict in larger units (family, clan, horde, pack, herd, etc.). Also extends this synopsis for the entire cosmos and sees the coexistence among each other and in symbiosis with other races, species, and creatures, which have grown over millions of years, in a cosmic framework.

Each cell or organ of the body can be assigned to one of these so-called germ layers. Each germ layer belongs to certain brain parts and histological formations for developmental reasons.
Also, cerebrum-controlled organs and old-brain-controlled organs behave inversely proportional concerning cell proliferation and fusion during the conflict-active and conflict-resolved phases. That is:
In the case of cancer, the cells or organs that develop from the inner germ layer have their relays in the brain stem and multiply with compact tumors of the adeno-cell type (e.g., in the liver, lung [round foci], intestine).
The cells or organs developed from the outer germ layer have their relays in the cerebral cortex. In cancer, they cause cell fusion in the form of boil or ulcers or a loss of function on an organic level, e.g., diabetes or paralysis.
In the middle germ layer, we distinguish an older and a younger group:
The cells or organs that belong to the older group of the middle germ layer have their relay in the cerebellum, i.e., they still belong to the old brain and, therefore, also make the same in case of cancer compact tumors in the conflict-active phase. Namely, the adenoid cell type (e.g., breast, melanoma, mesothelioma = pericardium, pleura, peritoneum).
The cells or organs belonging to the younger group of the middle germ layer have their control site in the cerebrum’s cerebral medulla. In the case of cancer, they make necroses or tissue holes in the conflict-active phase, e.g., cell degradation (the holes in the bone, spleen, kidney, or ovary).
This shows that cancer is not a nonsensical event of cells going wild by chance but a very well-understood and predictable process that precisely follows ontogenetic conditions.

According to the 4th law of Germanische Heilkunde®, “The ontogenetic system of microbes,” the old-brain controlled organs decompose their tumors with the help of particular microbes. While also in the healing phase, the holes of the cerebral medulla controlled organs are filled up again, with the help of bacteria and under the swelling. Like the cerebral cortex-controlled organs are also replenished with the swelling but without microbes (the viruses do not exist).

Until now, we have only understood microbes as if they caused the so-called infectious diseases. This view seemed obvious because we always found these microbes in so-called infectious diseases. Only that was not true. Because a conflict-active phase always preceded these supposed infectious diseases. And these microbes can only become active when the conflict is resolved. They are directed and activated by our brain. And they help us in the sense that they clear away the consequences of cancer that have become superfluous, i.e., the tumor that is no longer needed after it has fulfilled its task, or in the sense that the bacteria help rebuild the holes, necroses, tissue destruction of the cerebral group. So, they are our faithful helpers, our guest workers.
The idea of the immune system as the army fighting the evil microbes was simply wrong. Because the microbes are not the cause of diseases, but they are optimizers of the healing phase.
The 5th law, “The law of understanding every so-called disease is a (developmentally understandable) sensible biological special program of nature” (SBS), turns the whole of medicine around. If one looks at the diseases of the individual germ layers separately, one finds that there is obviously a biological sense. Since we no longer understand the alleged “diseases” in Germanische Heilkunde® as “malignancies,” glitches of nature, or God’s punishment, but as parts or individual phases of our SBS of nature, since then, the biological sense contained in each SBS has been of decisive importance. So, the special program has a sensible biological purpose or, with the SBS, something sensible or sensible-biologically necessary is to be achieved. The biological purpose in a mother/child conflict is, for example, that the organism builds additional mammary gland tissue to give the child, who is experiencing a developmental disorder due to an accident, assistance by getting more breast milk.
With the women in the so-called civilized countries, these processes mostly take place outside the lactation period. So if a woman in civilization gets a mother/child conflict while she is not breastfeeding (anymore), then such a mammary gland tumor grows and imitates the purpose of giving more milk to the infant, which is present as a child but mostly not any longer as an infant.
This has led our modern doctors to regard this tumor as something completely senseless, sick, or degeneration of nature because they have lost the understanding of the original meaning.
However, one cannot work in Germanische Heilkunde® without having discovered left or right-handedness. Because in a right-handed woman, the left breast is responsible for the child and the mother of the woman and the nest and the right breast for the partner or partners, which actually includes all other people, except for small children or people animals perceived as children. With the left-handed woman, this is precisely the opposite.
If one claps applause, as in the theater, then the upper hand is the leader, i.e., it determines the handiness. If the right hand is on top, then one is right-handed; conversely, if the left hand is on top, one is left-handed from the brain. This test is essential to determine which cerebral hemisphere a person is working, because many retrained left-handed people think they are right-handed. But it is equally important to know how old the patient is, which sex, or whether any hormonal peculiarities or interventions have to be taken into account, e.g., birth control pill, ovarian irradiation, hormone treatment, menopause, etc.
But also in Germanische Heilkunde®, a patient can die of his illness.
But this is not because his unique program was not good, but because the patient had been in conflict too long or repeatedly. He had not gotten a grip on the problem, which had caught him acutely “on the wrong foot.”
In the habilitation process, which has been running since 1981, the aim is to verify or falsify the findings of Germanische Heilkunde® in terms of scientific reproduction. After all, in a scientific science, reproduction at the next best patient case is still the choice method.
But such verification has not taken place until today. Which if it had taken place in 1981, would not only have proven the existence of such laws of nature in medicine but would also have had diagnostic and, above all, therapeutic consequences for countless patients. All of whom have since been sacrificed on the altar of orthodox medicine out of sheer ignorance.
The findings of Germanische Heilkunde® are not biased, and self-absorbing opinions in the social sense but natural laws discovered and recognized by Dr. med. Ryke Geerd Hamer, who also exists and functions daily without him.
Copyright Dr. Hamer
Translated: John Holledauer



