A young woman suffered from Migraines Chronic over 9 years. Nothing could help her until she learned GHK
I am 32 years old, right-handed and I suffered from chronic migraine for nine years. I was afraid of festivities, gatherings, and bright sunlight with heat. There was a significant reduction in the frequency and intensity of the migraines thanks to Germanische Heilkunde.
Nine years ago, when I was 23, I had one of the worst shocks imaginable. I needed to organize a party for my young husband’s relatives (they are all from the Caucasus, with South Caucasian traditions, ethnically Russian, and I am from Central Russia). After an experience the year before, I realized that these relatives are uninterested in our lives. They are not interested in me as a human being, but only that, as a woman, I could be a good hostess and know how to serve and take good care of guests.
I was terribly afraid of this banquet. My fear of this day had been building up for a month before the scheduled date. The banquet ended up being a complete failure despite my efforts and well-meaning. My self-esteem was destroyed, and no one supported me. One of the guests did not want to eat the food served to him, even though the food was of good quality and by no means disgusting.
The following healing phase was the most horrible thing I have ever experienced:
• SBS on nasal mucosa “stink conflict”/”situation smells dangerous” (especially intense on right partner side)
• swelling in frontal brain (“powerless conflict,” “frontal fear conflict,” two “territory fear conflicts” on laryngeal and bronchial mucosal relays)
• identity conflict in the territory (gastric mucosa reacted)
• loss of self-esteem in terms of morality and injustice at neck and skull base.
Furthermore, I had severe pain in my thoracic spine and lower back (loss of central self-esteem) and minor pain in all other joints of my skeleton, which also indicates the recovery phase of the loss of self-esteem. My head was literally bursting. It felt like it was blowing up like a balloon, my hearing was deteriorating, I was dizzy, and I was partially disoriented (I had a hearing conflict that shocked me). I had a severe migraine that did not subside for a week…

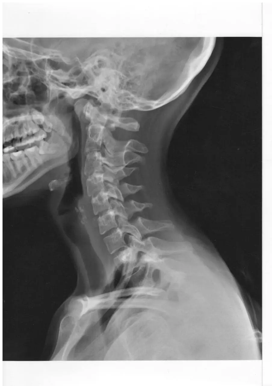
I went to a “well paid” clinic where the cold doctors (neurologist and ENT) barely looked at me and just ordered exams. The ENT doctor even asked me how much money I was earning to see how much they could charge me. I had an ultrasound of the neck vessels, x-rays of the neck, and an MRI of the brain. None of these tests revealed any pathology.
At that time, I learned that even these high-ranking doctors had no idea about what could cause such a terrible disease. I have attached the results of my examinations.
Of particular interest is the MRI of the brain (I cannot attach the images themselves in good quality, as they are on film). The conclusion indicates the localization of the “cystic” formations. The swelling was still visible ten days after the conflictolysis. I was terribly afraid of a possible diagnosis of a “brain tumor”; thank God it was not issued.
I refused further “treatment” in this clinic, and on recommendation, I went to a specialist in biological centering and craniosacral therapy. These methods are gentle manual techniques without displacement or straightening of bones; it is not massage.
This therapist facilitated my protracted healing phase (perhaps there was a hanging healing), which was complicated by thinking about my “terrible disease” and how to proceed. It was a swelling in the brain and syndrome at the organ level, making the symptomatology much more severe.
The effect after the session was a significant reduction of pain. But the most unusual thing that impressed me even more was the complete shutdown of my inner dialogue. It was a milestone in my life when I learned that there is a connection between thoughts and physical manifestations.
It is difficult for me to say how these methods work from the biological laws’ perspective; for this, I need much more scientific knowledge, which is not so easy to obtain.
I know that all the so-called “strong psycho-emotional impressions” are imprinted in the physical body into the biomechanical memory of our tissue structures. It is these structures to which our attention is directed and which create tension. There are techniques to influence the biomechanics of our body (and, at the same time, our attention) in such a way that our consciousness is relieved. Traumatic images resemble the facts from our life story and no longer have their original force.
At the same time, the tension is released from the physical body.

It is clear that these tensions are needed from the biological viewpoint and are neither bad nor good. However, they can cause suffering for the human being. As a very attentive and knowledgeable person, I can say that after nine years, I have learned to achieve a similar and incomparably more stable state by working only with my mind and the knowledge of the biological laws, breaking the isolation in a mental conversation without physical interference (read my testimonial about healing neck pain).
https://akademia-germanische-heilkunde.ru/%d0%b1%d0%be%d0%bb%d0%b8-%d0%b2-%d1%88%d0%b5%d0%b5-%d1%81%d0%ba%d1%80%d0%b8%d0%bf-%d0%b3%d0%be%d0%bb%d0%be%d0%b2%d0%bd%d0%b0%d1%8f-%d0%b1%d0%be%d0%bb%d1%8c/
In order not to mislead my readers about supposed “miracles,” I have to say right away that I found the real causes of my terrible suffering only thanks to the discovery of Dr. Hamer, and only thanks to him. Only with Germanische Heilkunde was I able to stop fantasizing about the causes of my ailments and get started on my work. However, to implement such a powerful discovery and become imbued with it, it was necessary to be tested and learn other methods beforehand. I am grateful for the help I received then, but it was only a temporary solution. The validity period of such an “adjustment” is about three months.
If the individual does not change his/her life, all problems will reappear. The same happened to me. I did not change my life, so I did not solve my problems. All my pain and bad condition returned after the next festivity, when I became as white as a ghost.
I again turned to the specialist I mentioned, who hinted at a “psychosomatic solution” to my problem. Still, I intuitively felt that, despite his confidence, he was looking in the wrong place for my problem. To summarize, it took me one and a half months to fully recover after a birthday party, which is extraordinary for a young girl. Young people rarely get seriously ill.
Since then, after every meal with other people – “good” and “not so good”), after every birthday or New Year, after every time I sat in a café or at an important event with many people, I had a migraine. The most headaches I had were in February and March of each year because the Debüt was in February, and the treatment dragged on until March. It didn’t take long until even the sun had become a track.
We have more sun in our city in March, and I went for treatment only in February and March. In addition, if you already have a migraine, the swelling presses on the eye nerves, which causes sensitivity to light, and in addition, the sun heats up the swelling in the brain, which increases the pain. Then, the sun itself becomes something dangerous and causes a migraine. Next, the track was a meeting (to prepare for a festival), where I needed time to prepare countless things in advance and before a long trip.
Usually, after packing my suitcase, I get a migraine because of my tracks. I had the sun on my face when I was driving, so I added a new track – driving. When driving a car in the city in sunny, summer weather, heat is inevitable – so heat became an additional track. A walk in the city on a sunny day also causes migraines because there are many people, noise (similar to a festival or a car ride), and there is sun.
So, the initial conflict without understanding the cause and effect became a snowball of tracks. And now I felt vulnerable with my “special” illness. At one point, I was already thinking of going to a neurologist to have special painkillers prescribed. I already had the common painkillers (prescribed for toothache or after surgery) in every bag, but I needed special ones because my prescription pills were no longer working. Now, I have read that before seeing a neurologist, you should keep a migraine diary. When I started doing that, I already noticed some correlations. So, I decided not to go to the neurologist. I wanted to work it out for myself.
It was only many years later, when I learned about Germanische Heilkunde and began to study Dr. Hamer’s discovery, that I realized what caused my migraines. The healing phase with the swelling in the brain after the conflict of frontal fear and powerlessness and the conflict of self-devaluation on the cervical relay (injustice, compulsion, intellectual self-esteem loss) fit perfectly for me.
I was in shock because everything was so correct and accurate, and it all matched my MRI studies. However, sorting out my conflicts and tracks was not so easy – it took me 3-6 months to figure it out. I was amazed at how ingrained my “migraine” behavior was in my character: it was just me…, with my constant hurry, my constant worry about being late, my fear of not being on time, my fear of looking bad for others, my fear of not setting the table properly and showing myself to be a bad host (also my trigeminal nerve with the loss of face conflict reacted a lot).
I immediately started to put my new knowledge into practice. This worked immediately by removing the syndrome and, with it, most of the swelling, which allowed me to reduce the pain 2–3 times. After I realized what was really happening, I went to two dinners together (with wholly different people, not like in the first case), and after the first meal, my head only buzzed but no longer hurt (I had solved the syndrome), and after the second meal, my head no longer hurt.
I also thought about what it was exactly about a party that had scared me so much, and I realized it was the alcohol and the obscenities. I connected these two tracks to my childhood memories – alcohol and obscenities at parties are part of a collective image of the pastime itself, for which I could be badly scolded as a child. Such real threats were made (verbally) but never happened in reality. So, I had frontal fear, which was also present in my compulsive thinking.
With this realization, I had no more migraines, and at the same time, my relationships with others improved. I was even more respected for my openness. It turns out that people appreciate it when you are honest with yourself and with others. Don’t shy away from your shortcomings; say what you think without excuses or hiding.
Then I started to get into the habit of defending myself when it came time to hurry, and where there was even the slightest compulsion to hurry – “I don’t want to do it, and I won’t do it, I will do everything at my own pace.”
For several months, I tried to convince myself that the sun, packing for the trip, high speed, and traffic jams were not dangerous for me. However, self-hypnosis did not work.
After success in other fields where I stopped getting migraines, I got a migraine only after riding my bike all day in the sun, and I was upset. But I did some detective work again. While I was biking all day, images from 20 years ago came to mind, a particular very unpleasant event from my teenage years (a bike ride with my dad after which my whole body hurt; there was the sun, there were cars, high speed), after which I didn’t get on a bike ever again for ten years.
The discovery of this track left an impact on me. In my mind, I tried to separate myself from this event and know that it would never happen again. The next day, the sun, car noise, and road traffic began to frighten me much less (as if out of nowhere). The noise became subjectively quieter, the smell from the roadway also became subjectively less accentuated, and it seemed like I had a choice in how to react to these “allergens” or tracks.
I do not want to go into details, but my childhood was not pleasant. Lots of unnecessary things have become integrated as part of my personality.
Because I am very resentful, I remember the original events and the associated tracks very well. Some people I can forgive, others I cannot. I see that the more neutral I can be about some events, the easier it is for me in the present. My success in curing chronic migraine episodes is my great inspiration. For the first time in so many years, I am living without the fear of having to lie down for half a day.
I still can get a relapse from the tracks, but the conflict lode will be very little, and there will not be much swelling, and accordingly, the head will hum only slightly in the healing phase. And because the relapses are shorter, my ability to work is unimpaired (before, I had to lie down for half a day). Some migraine episodes were in the context of the self-esteem collapse on the neck vertebrae (intellectual self-esteem). This is where it is easiest not to let myself get downtrodden for anything, praise myself, and be happy about new discoveries. What a fantastic achievement to distance oneself from one’s illness and loosen the tangles of conflicts!
Before, when I felt the initial painful condition after a party, I had to practically cancel meetings, and I now wondered greatly what my new reaction would be. My beloved husband (my future husband) also realized years later that all this was wrong and that he had initially chosen me as his partner based on very different criteria. He enjoyed my unconventionality, my vast view of the world, and my ability to contemplate and delve into the complex. To a certain extent, stereotypes about what a “real” woman should be like were also imposed on him. He was just unconsciously afraid of inappropriate criticism from his relatives. Now, he helps to keep me from getting off track and, of course, compliments me on my accomplishments. Undeniable achievements!
It is a jewel of introspection and self-discovery. If you have new priorities and, above all, KNOWLEDGE, each new victory motivates you to move on. The so-called character shifts slowly but surely in the wanted direction.
After six months of work, the frequency of seizures and the severity of the pain have decreased by 3–5 times! I used to take at least 2–4 painkillers per month; now, I have taken only three tablets in six months. Most importantly, the fear of getting a migraine has significantly decreased. One could say that migraines are no longer a problem for me!
This is not simple self-hypnosis, no placebo effect, no belief in positivity or affirmations (I’ve done that sort of thing many years without success) – it’s a lot of serious work on myself. It’s detective work. No one will do this work for you.
I am pleased that, thanks to the discovery of Dr. Hamer, I was able to change my life for the better! I wish this to everyone who reads my experiences report!
My testimony is accompanied by medical reports – MRI, X-ray, ultrasound – and protocols.
Note by GHK Academy
Your story is admirable from several viewpoints.
You had plenty of motivation to learn and understand the GHK and implement it for yourself in real life, but so did others. You even had to change your attitudes and character to accept yourself as you are and no longer let the pressure of societal expectations make you sick.
You understood that only you can learn, understand, and apply this knowledge for yourself, despite your headaches. No one else could do it for you, not even your husband. And life rewarded you by healing you from your years of migraines.
One would think this is obvious, and everyone would do it this way.
Unfortunately, experience shows that many people are not willing to learn GHK for themselves, even when it is about life or death.
Many think it would be enough to know a “therapist” who once heard about Dr. Hamer, and everything would be fine. This belief is dangerous because it always leads back to conventional medicine.
For everyone, there is only one way in Germanische Heilkunde. Study for yourself, understand yourself, and apply this knowledge for yourself, or stay in conventional medicine.
As easy to understand this simple fact is, as challenging to implement it seems for many.
Your example clearly shows that there is only one way to get well with GHK, which is what I find most valuable in your report.
Greetings to Russia.





